第一节 肝
肝影像学检查的目的,主要在于:①确定肝内占位性病变台肝肿瘤、肝脓肿和囊肿的有无,大小、位置与性质;②鉴别右上腹肿块的来源;③了解肝的结构和其他病变,如门静脉高压的原因及其侧支循环形成的情况。
普通X线检查价值有限。CT和USG可以在无损伤的情况下查知肝内的结构并显示病变,已成为首选检查方法。肝动脉造影对诊断肝占位性病变和血管病变有较大价值,常在USG和CT不能确诊的情况下,或在介入治疗前施行。
一、X线诊断
(一)X线检查方法与正常表现 肝区平片和透视只能大致了解肝的大小、轮廓和密度,并显示钙斑。诊断价值有限。
选择动脉造影:对诊断肝内占位性病变特别是肝癌有较大价值。原发性或转移性肝癌及肝血管瘤,主要由肝动脉供血,肝动脉造影可显示肿瘤的血管结构,从而作出定位和定性诊断。
通常采用经皮股动脉穿刺插管造影法。将导管插入腹腔动脉。快速射造影剂并作系列摄影,称为选择性腹腔动脉造影。常用76%泛影葡胺60ml。右观察肝的动脉期、毛细血管期和实质期。由于脾动脉同时显影,故可观察脾的情况,而且还可使脾、门静脉显影,称为间接性脾门静脉造影(indirect splenoportography)。如将导管送入肝动脉,虽用较少的造影剂,肝血管显影也好,且避免其他管干扰,称为超选择性肝动脉造影。
肝动脉造影能显示肝内动脉分支。正常动脉边缘整齐,走行自然,并有一定规律,管径由粗变细。毛细血管期显示多数细小毛细小血管,实质期使肝密度普遍均匀增高。
(二)肝疾病X线表现与诊断 仅叙述肝肿瘤、肝脓肿。
1.肝肿瘤 肝良性肿瘤种类很多如,如血管瘤、错构瘤等。肿瘤多较小且有包膜,不引起临床症状,常因其他原因作肝检查时偶然发现。肿瘤较大或出血可造成肝区胀痛。平片可能发现肝轮廓的改变如膈隆凸和升高。
(1)原发性肝癌(primary livercarcinoma):常见,多在慢性肝炎和肝硬化的基础上发生,分为巨块型、结节型及弥漫型。多见于40岁以上的人。早期无症状或只有肝区疼痛、腹胀、不适等。待出现肿块时病情常已进入中、晚期。及时发现肝癌是提高疗效的主要途径。如果化验检查甲胎球蛋白测定阳性,应进行影像学检查确诊。
选择性肝动脉影是诊断肝癌的有效方法,它能查出直径小至2cm的肝癌,并确定其范围与数目,供血是否丰富,还可了解有无肝硬化和附近有无肿瘤转移。肝癌的动脉造影可有以下表现:①显示肿瘤血管,表现为肿瘤区内大小不均、形状不规则的血管影或呈“湖样”充盈,其供血动脉增粗;②动脉拉直和移位,动脉边缘不规则且僵硬,系因肿瘤包绕所致;③毛细血管期可见肿瘤染色,呈高密度的结节影;④肝实质期显示为充盈缺损区;⑤有时可形成动静脉瘘,使相邻的门静脉分支早期显影(图4-3-1)。

图4-3-1 原发性肝癌动脉造影
肝动脉造影显示肝内一团巨块状肿瘤血管,大小不均,形态不规则,
其中心呈湖样充盈。供血动脉增粗、迂曲
如门静脉分支显影好,能显示分支受压、移位或拉直现象。有时可见分支粗细不均,边缘不规则甚至中断。如肝外门静脉边缘不规则,甚至现现充盈缺损和中断现象,提示肝癌侵犯、转移或瘤栓形成。
(2)海绵状血管瘤(cavernous hemangioma):常见,多无症状,常在体检时发现。动脉造影表现为早期显示“血湖”,相当于病理解剖上的血窦。这种血湖的典型表现呈爆玉米花状或结节状,边界清楚而毛糙,常呈丛状或半弧状分布,其显影时间可持续数十秒之久。
原发性肝癌应与肝血管瘤鉴别,其主要区别是:①血管瘤显影早而排空迟,显影持续时间明显长于肝癌;②血管瘤显影的典型表现呈爆玉米花状的血湖,肝癌的肿瘤血管呈形态不规则,粗细不均,僵直包绕,并常有小的动静脉瘘;③肝癌的动脉常有受侵、僵直表现,供血动脉扩大,而血管瘤没有。
(3)肝转移性肿瘤:肝转移性肿瘤较常见。在多血管转移瘤,如绒毛膜上皮癌、肾癌,表现为多数染色结节,常呈环形。而在少血管性转移瘤,如肺癌、胰腺癌,动脉期表现不明显,肝实质显示为多个充盈缺损区。
2.肝脓肿可以是阿米巴性或细菌性,以前者较多见。脓肿可单发或多发,多见于肝右叶。病变发展可穿破膈而波及胸膜和肺。引起胸膜炎和肺脓肿。临床上,主要表现为寒战,高热或弛张热,右季肋部钝痛,肝增大并有明显压痛。
肝脓肿的X线检查主要为透视和平片。可见膈升高、运动减弱,有时可造成局限性隆突,与脓肿的部位相应。肝向下增大,可致十二指肠和结肠肝曲向下移位。由于脓肿的影响,可有轻微胸膜反应使肋膈角变钝或有少量胸腔积液。右肺下部可出现一些反应性炎症或盘状肺不张。如伴有产气杆菌感染,脓腔内可出现气体并形成液面。采取正、侧位或侧卧位水平投照,可确定脓肿的位置和大小。脓腔穿刺后注入气体可以看到同样的表现。肝脓肿向胸腔或肺穿破可引起右下肺大片实变影,其边界多较清楚。动脉造影可见血管压迫和移位,在实质期可显示低密度区,边较清楚,其四周有环状染色。为肉芽组织所致。
二、USG诊断
USG根据肝特有的图像可测知其大小与结构,并判断有无病变及病变性质。
(一)USG检查方法 多采用仰卧位,用右前斜位以检查右叶后段。一般用连续纵断面和横断面探查或用右肋间和右肋缘下途径。为显示左叶常作剑突下纵断面探查。USG检查肝一般不需特殊准备,事先禁食12小时有助于肝、胆、胰的联合检查。
(二)正常肝的USG表现 肝实质由分布均匀细小光点组成,这是由肝细胞和其纤维组织支架、胆管、小血管等无数小界面形成的。肝周围为被膜形成的界面,表现为线状回声。在肝横断面图像,常可在左内叶与左外叶之间,见到圆韧带的横断面,呈圆形强回声,直径为约数毫米。肝左叶与尾叶之间,可发现由静脉韧带所致的线状强回声。
正常肝断面的轮廓规则而光滑。在沿肋下作斜形探查时,在肝图像的中间部位可见门静脉,呈圆形或椭圆形无声结构,并可追朔至左右分支。门静脉及其分支的管壁回声较强。
正常肝右叶厚度为12~14cm,左叶厚度通常小于5cm,在锁骨中线,肝下缘不超过肋下1cm。肝下缘剑突下不超过5cm。胆囊在右叶下方,锁骨中线部位。肝右叶后段与右肾前方相邻,肝左叶后方与腹主动脉相接,肝右叶后部与肝左叶相交处为下腔静脉。
(三)肝病症USG表现与诊断
1.肝脓肿USG检查是诊断肝脓肿的首选方法。脓肿的声像图表现为液性暗区,移动探头可显示脓肿呈球形。脓腔内的坏死组织等有形成分,可造成点状或线状回声。脓肿边缘较厚而不甚规则,内有散在细小光点。肝脓肿尚未充分液化时,可表现为大片边界不清的低回声区,难与实质性病变区别。有时肝脓肿内无声区不典型,则易与肝肿瘤坏死混淆,须结合病史及化验,以便和其他疾病鉴别。肚脓肿可为单发、多发或多房,检查时应注意。
2.肝囊肿及包囊虫病肝囊肿呈现一个或多个无回声暗区,直径自数毫米至几十毫米,断面接近圆形,其中可有不全分隔。囊肿壁薄而光滑,边界清晰,与肝实质有清楚分界。囊肿后壁及后方常有明显的回声增强效应。大的囊肿可使邻近肝内管道受压移位。
肝包囊虫病的声像图与肝囊肿类似。肝近膈面处是好发部位。有时病灶可有多房样结构。囊壁钙化形成壳状强回声。诊断需结合病史。
3.肝肿瘤肝肿瘤在声像图上呈局限性强回声或低回声区,常难以确定肿瘤性质。因此,对肝肿瘤或占位性病变的性质常需结合其他检查加以判断。
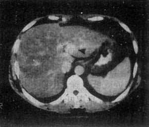
原发性肝癌:USG是影像学诊断中的首选方法。声像图上肝癌表现为聚集成团的强回声区,光团强弱分布不均,边比缘不规则。光点常粗糙明亮,与正常肝组织有明显差别。肿瘤区下方的正常肝组织回声强度降低,系因肝癌引起的超声衰减所致(图4-3-2)。

图4-3-2 肝癌(巨块型)
另一种表现是病变区以低声为主,该区光点稀疏。肿瘤区后方边缘无增强效应,可与囊肿鉴别。在弥漫型肝癌可见到弥漫分布的点片状、粗细不规则光点或光斑,诊断较难。
肝癌不同类型的声象图表现,见图4-3-3。

图4-3-3 肝癌声象图分型示意图
Aa.结节型强回声 Ab.融合型强回声 Ac.包膜型强回声
Ad.巨块型强回声 B.等回声型 C.低回声型 D.混合型 E.弥漫型
除上述肝内回声的变化外,还可发现肝内静脉和胆管出现受压移位等改变。肝常增大,肝的上缘或下缘显示膨隆。由于肝癌常在明显肝硬化的基础上形成,故常同时有肝硬化的USG表现,诊断时要注意鉴别。
海绵状血管瘤:由于USG广泛使用,血管瘤的发现也逐渐增多,USG易于发现血管瘤,但定性诊断仍有一定限度。
声像图上小的血管瘤表现为均匀强回声区,边界清晰锐利。部分血管瘤可出现由血窦形成的液性无回声区或呈网状结构。病变单发或多发。较大的血管瘤多呈混合型图像特征。如USG诊断难以定性,应作CT或动脉造影协助诊断。如可能,可作穿刺活检。
4.肝硬化 在我国以门静脉性肝硬化及血吸虫病性胆硬化较多见。USG表现在早期为肝增大,其后出现肝内纤维组织增生、硬化,肝回声增强、增多、变粗,形成弥漫不均的光点图像。浅层回声常增强而深层常减弱,肝内部各种管腔结构失去正常排列,显示不清。病变进一步发展,肝边缘因纤维组织收缩而不规则,肝内可出现异常回声的结节。后期则肝缩小,轮廓凹凸不平,肝内回声不均,可出现脾增大腹水,腹水表现为肝表面与腹壁软组织之间的液性暗区。
三、CT与MRI诊断
肝的CT检查安全、可靠,有广泛的适应证。主要的适应证是肝占位病变。凡是临床或其他检查方法疑有肝占位病变尤其是肿瘤,都是CT检查的适应证。CT能确定病变的部位、范围、大小和性质,还能了解肿瘤有无转移,门静脉或腔静脉有无瘤栓等。对手术治疗或经导管栓塞化疗后的复查也较好。CT还能对上腹部情况包括胆囊、脾、腹膜后腔、有无腹水等作全面了解。CT与USG是肝检查的首选检查法,对病变的典型表现可以确诊。对一些不典型病例,两者应配合使用,互相补充和印证,可使病变的诊断更为正确。
(一)CT检查方法 检查前5~6小时禁食。扫描前30分钟口服1%~2%泛影葡胺400~500ml,其目的是使胃和肠管显影,避免将胃或肠管误认为异常。取仰卧位,层厚10mm,自膈顶向足侧对全部肝作连续横断面扫描。先作平扫,多需作增强扫描,以便更好地明确病变、病变性质并了解血管的情况。
(二)正常CT表现 CT上,肝呈密度均匀的实质性软组织影,CT值为50~60Hu,高于脾、胰、肾等脏器。肝内门静脉和肝静脉显示为低密度的管道状或圆形影。增强扫描后则明显增强,显示为高密度影。下腔静脉平扫时为圆形低密度影,增强后呈高密度。肝内动脉分支和正常胆管分支细小,通常平扫和增强都不能见到。
正常肝轮廓光滑,其形状及胸部结构依断面位置而不同。肝门区常有较多脂肪组织,呈不规则形或类似多角形低密度影。其中有肝动脉、门静脉和胆管进出。门静脉较大而居后,肝动脉位于其前内,胆管(主要是肝总管)位于其前外方。增强后门静脉较易识别,呈圆形高密度影,位于下腔静脉之前。CT上易于区分肝的各叶,即左呈、方叶、右叶和尾叶。左叶和方叶以圆韧带裂(又称纵裂)为界:方叶与右叶以右切迹和胆囊窝为界;横行的静脉韧带裂更明显。将左叶与尾叶分开;尾叶与右叶相连,突向内侧,位于下腔静脉的前方,易于识别。不同层面肝的解剖结构见图4-3-4。



图4-3-4 肝不同层面CT表现
MRI用于上腹部实质脏器,并非首选方法。与CT相比,其主要缺点是成像时间长(需数分钟)和空间分辨力低。心和腹主动脉的搏动、呼吸运动和肠蠕动都造成明显的伪影,妨碍诊断。然而MRI也有其优点,即可以通过成像参数的改变来了解病变的信号特点,从而对病变做出鉴别诊断;MRI还可以三维成像以及不用造影剂即可了解大血管的情况。随着MRI功能和成像方法的开发和改善,例如心电门控,呼吸门控,梯度回波快速成象技术等,MRI对腹部脏器尤其是肝脏疾病的诊断价值逐渐被认可。对于肝内占位病变,如USG和CT定性或判断有困难时,可使用MRI。
(三)MRI检查方法 常规使用自旋回波成像技术T1WI和T2WI作横断面和冠状面成像。必要时可加用;①梯度回波快速成像;②冠状面和(或)矢状面成像,用于确定病变的位置及其与邻近器官的关系;③静脉注射造影剂GdDTPA作增强成像。在有条件的情况下,可辅以心电门控,呼吸门控等技术以减少伪影。
(四)正常MRI表现在横断面图像上肝的解剖形态与CT图像相似。正常肝的结构均匀,其信号强度中等,在自旋回波图像上略低于脾而高于背部肌肉。对肝左叶和肝右叶的近膈部分,MRI显示比CT为优,因为CT在该处常由于胃内气体、膈的部分容积效应及胃肠道内造影剂而产生伪影。肝外与肝内血管,主要是静脉呈低信号,显示良好,明显优于CT平扫。腹内脂肪组织显示为甚高信号,气体显示为极低信号。
(五)肝疾病CT、MRI表现与诊断
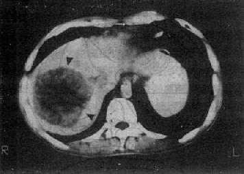
1.原发性肝癌 CT平扫绝大多数是低密度病灶,少数可以是低密度、等密度与高密度混合的病灶。肿瘤可以是单个或多个结节,也可呈巨块状。较大肿瘤因出血、坏死和囊变而致密度不均匀,中心部常出现更低密度区,其边缘部呈结节状。肿瘤边界多不清,少数边界清楚并有包膜。增强扫描肝癌区略有增强或不增强,而正常肝增强,因而使肿瘤境界更为清楚。癌变区可出现密度稍高的结节或隔,但其增强程度多不如正常肝。动态扫描时,即快速静脉注射造影剂并于开始注射后15~25秒内即行扫描,由于肝癌由肝动脉供血且供血丰富而迅速,而造影剂尚未到达肝内门静脉形成实质期,故肝癌结节可成为高密度,甚或显出高密度的异常肿瘤血管。但肝癌增强的时间较短暂,2~3分钟内即恢复为原来的低密度状态(图4-3-5)

图4-3-5 原发性肝癌
CT增强扫描,肝右叶有一较大圆形低密度肿块(↓),其边缘
部可见多个较密度的强化结节,其强化程度不如正常肝,中
心部仍为未强化的低密度区
除了上述密度改变外,CT还可能看到另外一些改变,包括①癌瘤处体积增大,轮廓隆凸;②肿瘤压迫肝门和(或)肝裂,使之变形和移位;③门静脉内瘤栓,表现为门静脉增粗,密度不均,增强后可见腔内充盈缺损影或门静脉不增强;④邻近器官如胃、胰、肾的受压移位;⑤附近或远处淋巴结增大(转移),腹水或其他脏器转移。
肝癌常在肝硬化的基础上发生,因此常可见到肝硬化的CT表现。
原发性肝癌在T1WI上肝癌的信号强度低于肝,境界常不清楚,有时难以认出。在T2WI上癌瘤较易识别,其信号高于正常肝,常不均匀。癌瘤中心常有不规则更低信号区,肿瘤边缘有时有一低信号的包膜(图4-3-6)。注射造影剂后肝癌信号明显增强,可低于或高于正常肝的信号,境界更为清楚,其中低信号区(出血、坏死、瘢痕)则无强化。若有门静脉内瘤栓,可于低信号的门静脉中出现高信号块影。


图4-3-6 肝癌(MRI)
A、T1WI肝右叶可见大块较低信号区,其内信号不均,轮廓不规
则(↓)。门静脉内可见相同信号强度影像,为癌栓所致(↓)
B、T2WI上述稍低信号区成为稍高信号区(↓),门静脉内癌栓的信
号也增强(↓)
2.海绵状血管瘤 CT平扫表现为类圆形低密度区,境界较清楚,密度较均匀。较大的血管瘤,其中心部分呈更低密度区,平扫所见难于肝癌鉴别。增强扫描尤其是动态扫描是鉴别诊断的必要手段,而以且注射和扫描技术起决定性作用。以60%~70%泛影葡胺60ml于30秒内注入静脉,注射完毕立即对病区层面进行扫描,然后在1、3、5分后再对病区层面扫描,必要时最后一次扫描可延迟到注射后10~15分。在注射造影剂60秒内的扫描片上,血管瘤边缘出现结节状,高密度的增强灶,代表瘤中的“血窦”,其密度与主动脉的密度相近,明显高于正常肝。在其后的扫描片上,可见增强的范围逐渐向中心扩展,而增强灶的密度则逐渐减低,最后整个血管瘤被造影剂“填满”,即整个血管瘤与肝的密度相等。这个过程约为几分钟到10~20分钟。造影剂在血管瘤内持续时间长,是与肝癌鉴别的重要征象。较大的血管瘤,其中心可始终保持低密度(图4-3-7)。


图4-3-7 肝血管瘤
CT增强扫描,注射造影剂后10分钟,可见原来两个低密度
区被造影剂基本完全充盈(↓)。图为两个相邻层面
血管瘤在T1WI上表现为均匀低信号区,较大的血管瘤则在其中心结构不均匀且信号更低,乃由于其中的血管和纤维化所致。上述表现与肝癌难以鉴别。T2WI对鉴别诊断很重要,血管瘤的信号很高,而其他实体性肿瘤只稍高(图4-3-8)。最近文献报道,MRI对肝癌和血管瘤鉴别诊断的准确性优于CT和USG,92%病例可作出鉴别。注射Gd-DT-PA行增强检查也有助于血管瘤的鉴别,血管瘤的信号强度比肝癌增高更快,更强,且停留时间更长。


图4-3-8 肝血管瘤(MRI)
A.T1Wi 肝左叶有一边界清楚的低信号区(→)
B.T2WI 原低信号区表现为极高信号(→)
此例CT检查亦表现为典型的血管瘤征象
3.肝脓肿 CT显示为境界清楚的圆形低密度区,CT值20~30Hu轮廓多整齐。脓肿壁表现为一圈“晕”,其密度高于脓腔而低于正常肝。增强扫描脓腔不强化,脓肿壁呈环形增强,轮廓光滑整齐,厚度均匀。若腔内有气体和(或)液面则可确诊。
肝脓肿在MRI上呈液体病变的信号特征,即长的T1和T2。T2WI上呈圆形、境界清楚的低信号区,其周围有一圈低信号晕围绕。注射Gd-DTPA后这一圈晕呈高信号环。
4.肝囊肿 典型CT表现为单发或多发边界锐利光滑的圆形低密度区,CT值与水接近。增强扫描囊肿不增强。
肝囊肿的MRI特点是T1和T2时间极长,在T1WI上其信号极低,低于血管瘤和肿瘤的信号,在T2WI上则其信号强度高于血管瘤和肿瘤。注射Gd-DTPA后,肝囊肿信号不增强。有时在T2WI上囊肿和血管瘤的信号强度相似,难以区别,则应利用T1WI加以区别,此时囊肿的信号强度明显低于血管瘤的信号。
5.肝硬化 CT有助于了解肝硬化的程度及腹部其他情况。平扫表现为肝密度普遍减低,CT值接近或低于脾。早期肝增大,晚期肝缩小。肝轮廓凹凸不平呈结节状。肝各叶大小比例失常,常是尾叶与左叶较大而右叶较小。肝门和肝裂增宽。脾增大是诊断肝硬化的重要根据,其外缘前后径超过5个单元,(一个肋骨或肋间隙称为一个肋单元)。病情进展者或伴有腹水,表现为肝轮廓外的新月形水样低密度区。有些硬化患者没有CT变化。
第二节 胆
一、X线诊断
(一)X线检查方法 分普通和造影检查。
1.普通检查 右上腹平片或可显示含钙结石,胆囊壁钙化,钙胆汁(胆汁中含有高浓度碳酸钙,胆汁成乳状)和胆道积气等。有时胆囊扩大,在周围肠充气衬托下,可以显示胆囊轮廓,平片诊断价值有限。
2.造影检查
(1)口服法胆囊造影:口服法胆囊造影(oral cholecystography)主要用于观察胆囊的形态和功能,口服胆囊造影剂后,造影剂被小肠吸收进入血液,然后经肝随胆汁排入胆管到胆囊。此时造影剂的浓度不够高,不足以使胆管或囊显影。必须经过胆囊浓缩后(胆汁在胆囊内被浓缩10~20倍),才能使胆囊显影。因此,口服法胆囊造影是测知胆囊浓缩功能的方法,也是利用本法诊断胆囊疾病,特别是胆囊炎的理论根据。常用的造影剂是碘番酸。
造影的具体步骤如下:造影前一天晚8时服造影剂3g,之后致第二天摄影前禁食。服造影剂后12~14小时摄胆囊造影片。如胆囊显影良好,即服脂肪餐(鸡蛋2个),30~60分钟后再摄一片,观察胆囊收缩功能。有些病变如小的结石在胆囊收缩后的照片上显示更为清楚。正常:60分钟后胆囊约收缩为原来的大小的一半。本法受胃肠道吸收功能影响较大,幽门梗阻、严重腹泻或呕吐患者均可使造影失败。明显的黄疸患者胆囊多不显影。
(2)静脉法胆系造影:静脉法胆系造影(intravenous cholecystocholangiography)是静脉注射胆影葡胺,使胆管和胆囊显影。本法能在2~3小时内使胆管胆囊显影。口服法胆囊不显影的患者,静脉法可能显影,但血胆红质较高患者仍可能不显影。
口服法胆囊造影与静脉法胆系造影各有特长,临床上常相互配合。由于USG的广泛应用,胆囊造影已退居次要地位。
(3)术后经引流管(T形管)造影:手术后经T形管作胆管造影,对观察胆管内残留结石或其他疾病,以及了解胆管与十二指肠的通畅情况,有较大帮助。造影应在透视监视下进行,有明显感染时不宜施行。
(4)内镜逆行性胰胆管造影:内镜逆行性胰胆管造影(endoscopic rctrograde cholangio pancreaticography,ERCP)是将十二指肠纤维镜送至十二指肠降段,经过乳头插入导管注入造影剂,以显示胆管或胰管的方法。此方法除用于胰腺疾病的诊断外,对诊断胆管病变如结石、肿瘤也有很大价值。特别是当静脉法胆系造影尚难肯定诊断而胆管又无明显阻塞进,本法更为必要。检查应在透视监视下进行,以保证安全,并使摄影满意。
(5)经皮肝穿剌胆管造影:以皮肝穿剌胆管造影(percutaneous transhepatic cholangiography ,PTC)主要用于鉴别阻塞性黄疸的原因并确定阻塞部位,通常于CT或USG确定有胆管阻塞后,才施行本检查。多使用细穿刺针,在透视监视下进行。细针穿刺使并发症,如出血和胆汁性腹膜炎大为减少,但仍应严格掌握适应证。在本法的基础上发展了胆管引流术,可降低胆管内压力,对减轻黄疸有良好的作用。
(二)正常X线表现
正常胆囊在X线造影片上位于右第12肋附近,长7~10cm,宽3~4cm。胆囊形状可为圆形、卵圆形或长形,位置可高达第10~11后肋或低达髂嵴。显影良好的胆囊密度均匀,边缘整齐。在立位摄影时,可以出现浓淡不等的分层现象,不是病理变化,胆囊可分底部、体部、漏斗部与颈部四部。胆囊管长约3cm,宽2~3cm,与胆囊颈部相连,具有多数螺旋状瓣膜(或皱襞),因此呈螺旋状弯曲小管。向肝门走行,与肝总管汇合而成胆总管。
胆内胆管呈树状分布,纤细、整齐,逐级汇合成左、右肝管,再汇合成肝总管。肝总管约0.4~0.6cm,长3~4cm。胆总管是肝总管的延续,宽0.4~0.8cm,长6~10cm。胆总管走行于十二指肠球与胰腺的后方,先向内下再向外下走行,同胰管汇合,汇合处称Vater壶腹,斜行进入十二指肠降部。胆总管和胰管也可不汇合而分别开口于十二指肠(图4-3-9)。

图4-3-9 正常胆襄、胆管造影示意图
(三)胆系疾病X线表现与诊断
1.胆石症 胆石(gallstones)位于胆囊或胆管内。常引起右上腹疼痛和黄疸等症状。胆石主要成分为胆色素和胆固醇,有的含有钙盐。根据含钙盐多少而分为不透X线结石与可透X线结石两类。前者常称为阳性结石,后者为阴结石。
(1)阳性结石:10%~20%胆石是含钙的混合结石,平片可以显示,这种结石大多在胆囊内,常多个堆积在一起。其大小自砂粒至蚕豆大、呈圆形、多面形或菱形,犹如一串葡萄或一堆石榴子,个别结石很大。胆石是边缘致密而中间透明,但中心常有一个致密斑点。有的结石呈层状,有的显示为薄壳环形影,要仔细观察才不致遗漏。胆囊结石X线表现不典型者诊断较难,需辅以造影检查,胆囊结石应位于胆囊影内。胆石需与肾结石和肠系膜淋巴结钙化鉴别。肾结石大多较为均匀致密,具有肾盂或肾盂盏的形状。侧位摄影,胆石位于腹前中部,而肾结石位于后方与脊椎相重,肠系膜淋巴结钙化多为颗粒状密度不均匀影,且移动性较大。
(2)阴性结石:胆石中的80%~90%为阴性结石,平片不能见到,需造影才能显示。胆囊造影常显示为多数成堆充盈缺损,呈圆形或多面形,如石榴子样。有时结石过小或胆囊显影密度过高,卧位影常显示不清,需摄立位片或加压点片。在立位,由于其比重不同,胆石或浮于造影剂之上或位于造影剂中间,呈水平排列的一层低密度影,或沉于胆囊底部,呈一堆低密度影像,均易于发现(图4-3-10)。肠气与胆囊重迭易造成误诊,应变换体位摄影或多次摄影观察,也可作体层摄影以避免肠气的重迭。服脂肪餐后胆囊收缩,结石常显示更为清楚。胆石伴发胆囊炎胆囊不显影,则结石无法看到。此时,静脉法胆系造影显示结石的机率要比口服法高。

图4-3-10 胆襄结石(胆襄造影)
A.立位,于造影剂中间,水平排列的多发性充盈缺损
B.卧位,呈多发性如石榴子状充盈缺损
胆管结石在胆管造影时显示为单个或多个小圆形充盈缺损,胆管常扩大,犹如豆粒在豆荚中一样,也常伴有胆管的狭窄或梗阻。胆总管下端或壶腹结石易引起梗阻,梗阻处常出现杯口状充盈缺损,其上方胆管扩大。泥沙样结石造影难于显示。
2.胆囊炎 胆囊炎(cholecystitis)可单独存在或与胆石并存。急性胆囊炎一般不需作X线检查,对于小典型者。X线摄影可能有助于同其他急腹症作鉴别。急性胆囊炎可引起附近肠管肠郁张,有时可将增大的胆囊衬托出来。慢性胆囊炎的病理变化主要是粘膜破坏、囊壁增厚并有纤维化,以致胆囊浓缩和收缩功能受损、平片偶见胆囊壁钙化。X线诊断一般需造影检查确定。口服法胆囊造影可见:①胆囊不显影(20%正常人也可因其他原因而不显影);②胆囊显影浅淡、延迟,胆囊缩小或增大,是诊断慢性胆囊炎较为可靠的征象;③胆囊收缩功能不良,对诊断价值有限。静脉法胆系造影如胆管显影良好而胆囊不显影或胆囊显影延迟、密度浅淡而轮廓模糊,可诊断有胆囊疾病存在。
口服法胆囊造影,根据胆囊不显影而作胆囊炎的诊断时,必须排除引起胆囊不显影的其他因素,包括造影剂剂量不足(过分肥胖或体重超过80kg);服造影剂后呕吐、腹泻;幽门梗阻;造影剂崩解不良或停留于食管或十二指肠憩室内;肝功能明显受损;小肠吸收不良;妊娠期或哺乳期的妇女;胆管与肠管间有异常通道或Oddi括约肌松弛,使含碘胆汁不进入胆囊;严重的糖尿病;胆囊位置异常胆囊先天性缺如;照片太小未能将胆囊包括在内;胆囊已切除等。
二、USG诊断
胆的USG检查具有安全、简便、可靠、无损伤等优点。可作为检查胆系疾病的首选方法。由于胆汁是均匀的液体介质,所以胆囊内部呈液性暗区,胆囊周围的结缔组织与肝和胆囊壁间的声阻抗差,形成良好的声学界面,使胆囊轮廓线得以亮显示。因此,胆囊是进行USG检查的理想器官。
(一)USG检查方法 使用实时线阵型超声设备,易获得清晰的胆囊图像。
检查前需禁食12小时,最好在清晨空腹时检查,这样可使胆囊充盈胆汁,显示其真实大小和形态。也可避免胃内容物产生干扰,取仰卧位;必要时取右前斜位或左侧位以显露胆囊底部。常自中线开始向右作连续矢状断面探查,找到胆囊后再延胆囊纵断面或横断面探查。也常作肋缘或肋间的探查。
如发现胆囊占位病变,应改变患者体位探查,如为结石则其影像随体位的改变而移动。
(二)正常胆囊和胆管的USG表现 正常胆囊表现为均匀的液性暗区,胆囊轮廓清晰,囊壁较薄。有时近端可呈线状回波,远侧壁回声增强(图4-3-11)。肋缘下斜断面图像上胆囊多呈卵圆形,胆囊底位于图像的右上方,向左下方延伸为胆囊颈。超声所测胆囊大小,长径不超过9cm,宽径2~3cm,胆囊随呼吸而移动,可时大时小,时隐时现。胆囊右下方为右肾,左下方为肝门区,余部被肝包围。肝门区的门静脉、胆总管及下腔静脉等表现为液性暗区,可依其走向辩认。肠管内气体呈活跃的强回声、易于识别。脂肪餐后胆囊常明显收缩变小。

图4-3-11 正常胆囊声象图
声象图上通常将胆管分为肝外胆管与肝内胆管两部分。探头与胆总管平行时,肝外胆管表现为狭长的和道结构,长约数厘米,位于门静之前方。若探头与之垂直,则表现为圆形无回声区。肝内胆管如不扩张则难以查得。
(三)胆道疾病USG表现与诊断
1.胆囊结石结石的声阻抗大,与胆汁形成明显界面,因而形成强回声反射。胆囊结石典型表现如下:①胆囊内一个或多个强回声光团;②回声光团可随患者体位的改变而移动;③在强回声光团的后方有清晰的声影(图4-3-12),声影是由于超声被结石反射和吸收,其能量高度衰减所致。结石直径大于0.3cm即可形成声影,但需要排除肠腔内气体的强回声和探头接触不良形成的假声影。
由于胆囊结石结构、成分和位置不同,可出现一些不典型表现。如胆囊内充满结石,由于缺乏胆汁衬托,其声象图可不明显而只见声影;疏松的结石可不出现典型的声影;胆囊萎缩合并结石可造成实质性回声而后方声影不清晰等。
一般认为USG对胆囊结石的检出率达95%以上,特别是对于可透X线结石及在胆囊造影不显影时,USG可作出正确的诊断。在USG表现不典型时,仍应与X线检查和CT扫描互相验证,作出诊断。
2.胆囊炎急性胆囊炎时胆囊粘膜充血水肿,胆囊肿大,胆囊壁增厚。声象图上可见胆囊增大,由于张力增高而成椭圆形。胆囊壁轮廓模糊、增厚,呈现低回声,有时出现“双边影”。胆囊内炎性渗出物使胆囊透声性降低,出现云絮状或点状微弱光点。慢性胆囊炎时,胆囊萎缩,胆囊壁增厚,粗糙不平。其声象图表现为胆囊缩小,边缘毛糙,甚至难以显示。胆囊透声度明显降低,并可见一些线状回声或呈现实体样回声。
USG对肝内、外胆管扩张亦可清晰显示,并可判断其病因,是胆管结石或是肿瘤。
三、CT与MRI诊断
CT有肋于胆道疾病的诊断,尤其对梗性黄疸的诊断和鉴别诊断。当USG难以确定诊断时,可作CT检查。常同时进行肝、胆、胰的CT扫描。
(一)CT检查方法 患者应在检查前禁食以使胆囊处于充盈状态。平扫足以显示胆囊和含钙胆石。增强扫描有如下效果:①更好显示血管,借此可区分胆管与血管;②胆囊壁得以增强,显示更好;③肝增强可更好地显示扩大的胆管;④更好地显示肝和(或)胰的病变。静脉注射胆影葡胺或口服碘番酸后作CT扫描(胆襄/胆道造影CT),可使胆囊和胆管显影为高密度而更易识别,有利于显示阴性结石和胆囊息肉等。
(二)正常CT表现 胆囊通常位于右叶和方叶之间,在肝门和稍下方的层面上。正常胆囊为低密度、卵圆形影像,约4×5cm,胆汁密度均匀,CT值略高于水,但有时或达25Hu。胆囊壁厚度为1~2mm,均匀一致。
胆总管约在1/3的人显示,其直径多在6mm以下。正常肝内胆管和左右肝管不显示。
胆囊含钙结石即使含钙较少也可由CT显示,表现为单个或成堆的高密度影,常呈环状或多层状,其位置可随患者体位而改变。少数结石与胆汁呈等密度,需作胆囊造影CT才能显示,表现为低密度影。CT显示胆囊病变优于平片而不如USG。
急性胆囊炎的主要CT征象是胆囊壁增厚,常超过3mm,厚薄不均。胆囊常增大,胆汁密度可增高,超过25Hu。慢性胆囊炎除见胆囊壁增厚外,有时可见壁的钙化。胆囊可以萎缩变小。
肝内胆管扩张表现为肝内树枝状低密度影,其横断面表现为多个小圆形低密度区。造影增强后肝实质和血强化,胆管显示更加清楚。胆总管大于10mm可认为肯定扩张。根据胆管扩张的范围可推测梗阻的部位,例如,肝内胆管扩张而胆总管和胆囊不扩张,则梗阻部位应在胆囊管的上方。
总的说来,MRI对胆道病变的诊断价值不如USG和CT。胆囊在T1WI上呈低于肝的信号强度,在T2WI上其信号强度高于肝。肝内、外胆管在T1WI上大多不显示;在T2WI上显示为高信号。胆石质子密度低,信号弱,通常难以识别,有时在T2WI上可在高信号的胆汁显示为低信号。胆囊壁增厚在T1WI上显示较好,有助于胆囊炎的诊断。胆囊肿物在T1WI上显示为高于胆汁的肿块状信号强度,在T2WI上其信号强度比胆汁为低。若邻近的肝受侵,可出现相应的信号改变。
第三节 胰
由于胰腺小,位置深,以前认为是是一个“隐蔽”的器官。过去主要用间接显影的方法,即观察胰腺周围器官的形态和位置改变以间接推断有无胰占位性病变,如胃肠钡餐造影、腹膜后和胃内注气造影、尿路造影等,但都不能达到较早诊断的目的。内镜逆行性胆胰管造影和动脉造影,使胰的诊断得到改善。USG、CT可以在无损伤的情况下显示胰,并对其疾病作出诊断,是目前首选的方法。
一、X线诊断
(一)X线检查方法与正常X线表现
1.普通检查平片可看到胰腺钙化和胰管结石,有助于诊断慢性胰腺炎,但价值有限。
2.造影检查
(1)胃肠钡餐造影:胰腺增大可引起胃与十二指肠位置和形态的改变。低张十二指肠造影可使十二指肠与胰头部接触更为紧密,能较好地显示胰腺肿瘤或胰腺炎对十二指肠造成的压迫或浸润,但如病变不够大则无发现,所以不能作出早期诊断。
(2)ERCP:本法对诊断慢性胰腺炎、胰头癌和壶腹癌有一定帮助。由于胆管可同时显影,因而有助于了解胆管病变如炎症,结石与胰腺病变的关系。
正常胰管大多自胰头部向尾部斜行向左上走行,管径逐渐变细,一般最大径不超过3~5mm,边缘光滑整齐。自主胰管有一些分支分出。有时可见较细的副胰管,其位置多高于主胰管。
(3)选择性腹腔动脉造影:主要用于胰岛细胞瘤的诊断,但多在USG或CT难于确诊之后应用。胰岛细胞瘤常是临床症状明显而肿瘤较小,但它是富血管肿瘤,动脉造影可以明显染色而作出诊断。胰腺癌多为少血管性肿瘤,动脉造影对其诊断帮助不大。
(4)PTC:主要用于阻塞性黄疸的患者。阻塞性黄疸的原因很多,胰头癌是常见原因之一,PTC有助于确定胆道阻塞的部位和性质。
(二)胰腺疾病X线表现与诊断
1.胰腺炎 急性胰腺炎(acutepancreatitis)如临床表现不典型且病情允许时,可行X线检查。平片可见下列表现:胰腺增大,密度增高,十二指肠充气郁张,衬托出增大的胰腺;邻近的肠管尤其是升、横结肠出现肠郁张而降结肠萎陷,使结肠呈横截中断状;膈升高,左胸腔有少量积液,左下肺出现盘状肺不张,甚至炎性浸润。病情缓解后,作钡餐检查,可出现十二指肠曲增大和胃十二指肠受压征象。
慢性胰腺炎时胰腺常增大,可有钙化或结石形成。平片如发现胰腺钙化则支持慢性胰腺炎的诊断。钙化常表现为胰腺区较小,较多而形状不定的致密影。
PCT可确定慢性胰腺炎的程度。有助于治疗方案的选择。胰管及其分支可出现扭曲、变形、扩大、轮廓不规则和狭窄乃至完全闭塞。少数慢性胰腺炎可因纤维瘢痕改变而使胰腺缩小。
2.胰腺囊肿 胰腺囊肿(pancreaticcyst)大多由胰腺炎、外伤等引起,由炎性渗出液、胰液或血液等引起组织反应而逐渐形成,常称为假性囊肿。影像学检查的目的,主要在于鉴别胰腺囊肿与胰腺肿瘤,以及与胰腺外肿物如肠系膜囊肿等鉴别。
平片价值不大。胃肠钡餐造影,较大的胰腺囊肿引起胃肠道的压迫和移位,其特点是弧形压迹边缘光滑,粘膜皱臂完整而无破坏,与胰腺癌的浸润、破坏不同。根据囊肿部位的不同可以引起不同的压迫表现(图4-3-13)。胰腺体部假性囊肿较常见。




图4-3-13 胰腺囊肿
胰头部襄肿使十二指肠曲增大,降部内壁受压,边缘光滑整齐,
胰体部襄肿可将胃向下前方推移,胃小弯出现压迹,或将胃
推向上,横结肠推向下,胰尾部囊肿使胃体大弯受压,并向右前方移位
3.胰腺癌 胰腺癌(pancreaticcarcinoma)多位于胰头部。胰头癌与壶腹癌在临床上不易区分。胰腺癌起源于胰管或腺泡,生长迅速,形成坚硬的肿块,并直接侵蚀邻近的组织,引起胆管梗阻。多见于40~60岁的男性,主要表现为进行性阻塞性黄疸、疼痛和上腹部肿块等。早期不易诊断,常需采用多种成像技术检查。
低张十二指肠造影可见十二指肠内侧壁的粘膜皱平坦、消失、肠壁僵硬。癌瘤发展,则引起粘膜皱臂破坏,十二指肠曲扩大,其内缘出现压迹,可呈双重边缘(图4-3-14)。由于乳头较固定,压迹常呈ξ形,称为“反3”征。胃窦大弯可受压移位,后壁受压即呈“垫压”征。由于胆总管下端梗阻,可使胆囊和胆总管扩大,在十二指肠相应部位造成弧形或带状压迹。胃肠造影查出的胰腺癌多属晚期。ERCP可显示胰管狭窄和阻塞。如已有阻塞性黄疸,PTC可显示胆总管的胰腺段梗阻,梗阻端可圆钝、尖削、削平或呈不规则性狭窄。胰腺癌如有上述表现,大多已属进展期。

图 4-3-14胰腺癌
低张十二指肠造影,十二指肠环增大
饱满,升部内缘受压呈双重边缘(↓↓)
二、USG诊断
(一)检查方法 为了满意显示胰腺的声象图,晨间空腹时探查最好。多采用仰卧位,并辅以左侧抬高仰卧位。以腹中正中线为起点向左右两侧作纵断面探查,再作横断面探查,以了解胰腺全貌,如果胃肠内气体妨碍探查,可饮水约500mL,并注射低张药物,使胃内充满液体,作为“透声窗”有助于胰腺的显示。
USG对胰腺的显示率可高达95%。与其他影像诊断技术相比,USG是安全可靠的方法,值得作为首选方法。
(二)正常胰腺识别正常胰腺主要根据其解剖关系。在正中纵断面上,胰体位于肝左叶后方,腹主动脉,下腔静脉的前方,其断面略呈三角形。从剑突下作横断面探查,较大的胰头易于查出,整个胰腺呈带状结构,轮廓光滑整齐。正常胰头厚度(前后径)为20~30mm,体部、尾部厚度略小于头部。
胰腺内部回声多细小均匀而规则,略高或等于正常肝实质的回声。胰腺界波不太锐利,有时因脂肪组织伸入胰体小叶之间可使胰腺边界不清(图4-3-15)。

图4-3-15 正常胰腺声像图示意图L肝 GB.胆 P.胰腺
SV.脾静脉 SMA.肠系膜上动脉
IVC.下腔静脉 AO.腹主动脉 SB.腰椎体 DU.十二指肠
(三)胰腺疾病USG表现与诊断
1.急性胰腺炎胰腺增大、增厚,多为弥漫性也可为局限性,边界常不清楚。内部回声稀少。回声强度减低,病情好转时上述改变也迅速消失。
2.慢性胰腺炎声像图可见胰腺增大,但不如急性胰腺炎明显。有时胰腺可因纤维组织增生而变小,轮廓多不规则,与周围组织缺乏清楚的边界。内部回声多呈不均匀性增强。主胰管常扩大,明显可见,其中如有小结石可出现回声区和声影。
3.胰腺囊肿囊肿在声象图上呈典型无回声区,内壁光滑,外壁较模糊,后回声增强。囊肿外形呈分叶状。可为多房性的,其中有不规则的房隔光带。有时可见囊肿与胰腺相连接。
4.胰腺癌 USG可见胰腺肿瘤区增大,轮廓不规则,常呈分叶状。癌区内部多呈低回声区(图4-3-16),由于超声通过癌瘤时衰减较大,后主的界波强度很低。少数癌瘤的回声较强,呈不规则的较强光点。此外,尚可见到一些间接征象,如胆管系统因受压而扩张、门静脉或腔静脉受压等。

图4-3-16 胰腺癌
胰头区可见一强回声光团,形状不规则,
周边呈毛刺状浸润
三、CT与MRI诊断
CT可显示胰腺的大小、形状、密度和结构,易于区分实体性与囊性病变,是检查胰腺病变首选方法之一。
(一)CT检查方法 检查前口服1.5%泛影葡胺300~500ml,以显示肠管,可避免将肠管影误认为胰腺增大或肿瘤,而十二指肠显影有助于勾划出胰头的轮廓,确定胰头是否增大。通常先作平扫,然后作增强扫描,可更好地显示胰及其病变。邻近的脾静脉和其他血管显影也对判断胰腺有助。
(二)正常CT表现 在横断面上,胰腺呈凸向腹侧的带状影,自胰头至胰尾逐渐细小。胰腺实质密度均匀,略低于脾。随年龄的增长,腺组织脂肪变性趋于明显,则密度低且不均匀,常呈羽毛状。钩突是胰头部最低部分,表现为胰头部向肠系膜上静脉后方的楔形突出。脾形脉沿胰腺后缘走行。是识别胰腺的重要指标。胰管位于胰腺的前半部,常不显示或显示为2~4mm大小的低密度影。增强扫描胰腺密度均匀增高。由于胰尾位置高于胰头,常需连续几个层面才能观察全部胰腺(图3-17)。

图4-3-17 正常胰腺CT解剖示意图
目前认为MRI对胰腺的诊断价值不如CT。所使用的检查方法和措施与检查肝大致相同。
在T1WI和T2WI上,胰腺表现为均匀的较低信号结构,与肝的信号相似。其背侧的脾静脉由于流空效应呈现为无信号血管影,勾划出胰腺的后缘,可作为识别胰腺的标志。腹膜后脂肪组织显示为高信号,描绘出胰腺的前缘。十二指肠内液体常表现为较高信号。MRI对胰腺疾病的诊断原则与CT相似。
1.急性胰腺炎 CT对急性胰腺炎的诊断有较大价值,峄了解病变的范围和程度很有帮助。急性胰腺炎的典型表现是胰腺增大,密度稍减低。上述表现大多是弥漫性的,但也可只限于胰腺的某一部分。胰腺周围常有炎性渗出,导致胰腺轮廓不清,左肾筋膜增厚。渗出较多时胰腺可形成明显的液体潴留,呈现多个水样密度囊性低密度区,多在网膜囊、肾前间隙等处。胰腺内也可有积液。液体潴留被纤维囊包围即形成假囊肿。水肿型(或浆液-渗出型)胰腺炎病变程度较轻,胰腺的低密度较均匀,增强扫描时胰腺实质均匀增强。出血坏死型胰腺炎病情较重,胰腺明显增大,上述改变更显著,胰腺密度不均,坏死呈低密度区而出血呈高密度影。增强扫描可见坏死区不增强,而一般水肿、炎变的胰实质有增强。了解坏死的范围可推断病变的程度,对考虑治疗方案有助。脓肿是胰腺炎的重要并发症,表现为局限性低密度灶,与坏死区相似,出现气体是脓肿的特征。
急性胰腺炎的MRI表现为胰增大,轮廓不清。水肿使弛豫时间延长,T1WI胰腺信号减低,T2WI上信号增强。液体潴留或囊性坏死性改变在T2WI上信号明显增高,T1WI则减低。出血使T2WI延长而T1缩短,因而在T1WI和T2WI上都表现为高信号。
2.慢性胰腺炎 常见的CT征象是胰腺局部增大,常合并有胰内或胰外假囊肿,表现为边界清楚的囊性低密度区,CT直接近水的密度。约1/4的患者可见胰腺钙化,表现为斑点状致密影,沿胰管分布,是慢性胰腺炎的特征性表现。肾筋膜常增厚,主要是左肾前筋膜增厚,胰管常有不同程度扩张。病变发展到最后可见胰腺萎缩。
慢性胰炎MRI可见胰腺增大,但胰腺信号改变不明显。假囊肿是重要的诊断依据,T1WI表现为局限性囊性低信号区,注射造影剂后显示更为清楚;T2WI上假囊肿显示为囊状高信号区,更易识别。钙化是慢性胰腺炎的重要变化,在MRI上不形成信号,很难识别。
3.胰腺癌 CT表现为胰腺局部增大,呈肿块状隆起或呈分叶状增大。肿瘤的密度常与胰腺的密度相等,但其中常有坏死或液化而形成低密度区。增强扫描肿瘤常不增强或略增强,而正常胰实质增强明显,从而使肿瘤得以识别。这种密度的改变比看到肿块何能更重要。胰头癌侵犯、压迫胆总管引起梗阻性黄疸时,CT显示胆总管以上肝内外胆管扩张而胰头处胆总管突然狭窄、中断或变形。因此在梗阻性黄疸患者,必须沿扩大的胆管向下查寻,找到狭窄中断的位置。胰头部癌发生于钩突或累及钩突,若扫描层面不够低可能遗漏病变。胰头癌常阻塞胰管近段而使胰管扩大,表现为胰体中部偏前的管状低密度带,这也是胰头癌的一个重征象。胰腺癌进展,可使胰周脂肪层消失,邻近血管可被推移甚至包埋。肝门和腹膜后可出现淋巴结增大(图4-3-18)。


图4-3-18 胰腺癌CT表现
上图:CT平扫示胰头增大
下图:增强扫描,肿块不均匀强化,
中心有不规则低密度区
胰腺癌在MRI上可见胰腺局限性增大,该处轮廓不规则。T1WI上肿瘤信号稍低于正常胰腺和肝,其中坏死区信号更低;T2WI上肿瘤信号稍高且不均,坏死区则显示信号更高。一些间接征象如肝内外胆管扩张和胰管扩张是诊断胰头癌的重要依据,他们在T1WI上显示为低信号,T2WI上显示为高信号影像。